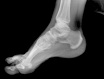
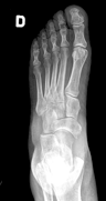
POSICION 1 : PIE AP (DORSOPLANTAR)

Paciente en decubito supino,la rodilla flexionada y con la planta del pie sobre el cassete radiografico.El haz de rayos se dirige verticalmente a la base del primer metatarsiano.
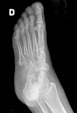
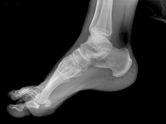
POSICION 2 : PIE L (LATERAL O PERFIL)

Paciente en decubito lateral, apoyando la cara lateral del pie sobre el cassete.El haz de rayos es dirigido verticalmente al centro del tarso.
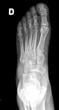
POSICION 3 : PIE OBLICUA

Se realiza de forma similar a la proyección AP , pero con 45 grados de elevación del borde lateral del pie, apoyando el borde medial del pie en el cassete.
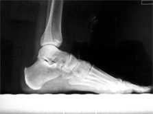
POSICION 4 : PIE LATERAL EN CARGA

Paciente en BIPEDESTACION O CARGA lateral, apoyando la cara lateral del pie sobre el cassete. El haz de rayos es dirigido verticalmente al centro del tarso.El casette en nuestro caso se coloca en el bucky y el paciente en un escalon.
CONSIDERACIONES MEDICAS Posicion 1 : PIE AP
Radiografía en la que se debe tomar en cuenta la totalidad de los elementos, los óseos así como las partes blandas , por lo que es importante recalcar que sean observados , parte del tarso los metatarsianos y sobre todo la orientación de falanges, no es imprescindible el desplegar los sesamoideos ya que estos serán mejor apreciados en enfoques oblicuos y perfiles .También en este enfoque es importante apreciar la congruencia articular del tarso y de los metatarsianos con las falanges , la mesura de los ángulos interdigitales y de las falanges entre si son muy importantes en ortopedia.
Nota jamás conformarse con solo este enfoque , siempre deberá estar acompañado de un perfil , y si es necesario una oblicua . Dr.Aramayo
CONSIDERACIONES MEDICAS Posicion 2 : PIE LATERAL

Enfoque complementario al frente de pie pero también importante en la apreciación de la patología talar y astragalina , no así el ante píe puesto que es mejor observado en el frente, , sin embargo es de uso común en la mesura de los arcos plantares ,
Los sesamoideos pueden ser observados en este enfoque en conjunción con un enfoque oblicuo , mucho de la patología plantar en lo que respecta a la fascia plantar y su inserción es mejor apreciada en este enfoque . Dr.Aramayo
CONSIDERACIONES MEDICAS Posicion 3 : PIE OBLICUA

Enfoque complementario y de gran utilidad , sobre todo en la patología traumática o de estrés de metatarsianos, es de importancia el recalcar la tridimensionalidad ósea por lo que es importante el imaginar los enfoque complementariamente a fin de poder reconstruir las líneas de fuerza óseas y también las irrupciones traumáticas que confirman la sospecha clínica , solo de esta forma se puede en el caso de patología traumática una buena reducción si es necesaria.Dr.Aramayo
CONSIDERACIONES MEDICAS Posicion 4 : PIE LATERAL EN CARGA

Lateral de pie en bipedaestacion
Posicion de gran uso en ortopedia y complementaria al perfil en decubito, es importante especificar si el apoyo es monopodalico, en patologia de sobreesfuerzo, puede ser de importancia el observar los puntos de contacto, en la medida en que los arcos plantares son respetados podremos descartar patologia mas que observarla, y no olvidar que es un enfoque complementario, algunos prefieren este enfoque para observar la medio tarsiana y su estado articular ,a veces tambien es necesario acompañar de un frente en apoyo para complementar la observacion. Dr.Aramayo

REFERENCIAS ANATOMICAS:




