
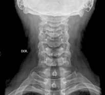
Columna Cervical AP: Con el paciente de pie o en decúbito, el haz de rayos se dirige a la altura de C4 (manzana de Adan), angulado 15 o a 20 o hacia cefálico

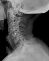
Columna Cervical Lateral
Paciente de pie o sentado, con la cabeza en posición neutra. El haz de rayos es dirigido horizontalmente al centro de la vértebra C4 (a nivel del borde inferior de la mandibula). Si el paciente está en decubito, el cassette se ubica lateral al cuello, con el haz de rayos dirigido horizontalmente 2,5 a 3 cm bajo la apofisis mastoides

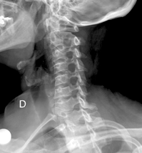
Columna Cervical Oblícua
Se sugiere hacer en posicion de pie, si bien se puede realizar con el paciente en decúbito. Se gira 45 o separando el lado en estudio del cassette radiográfico. El haz de rayos es dirigido a la vértebra C4, con una angulación de 15 o a 20 o hacia cefálico

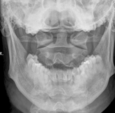
Columna Cervical Transoral
Igual posición que en proyección AP. La boca del paciente abierta ampliamente, y el haz de rayos dirigido al centro de la boca. El paciente debe estar en fonación (“aaaa”) durante la exposición, manera de desproyectar la lengua.